Common Orthodontic Issues


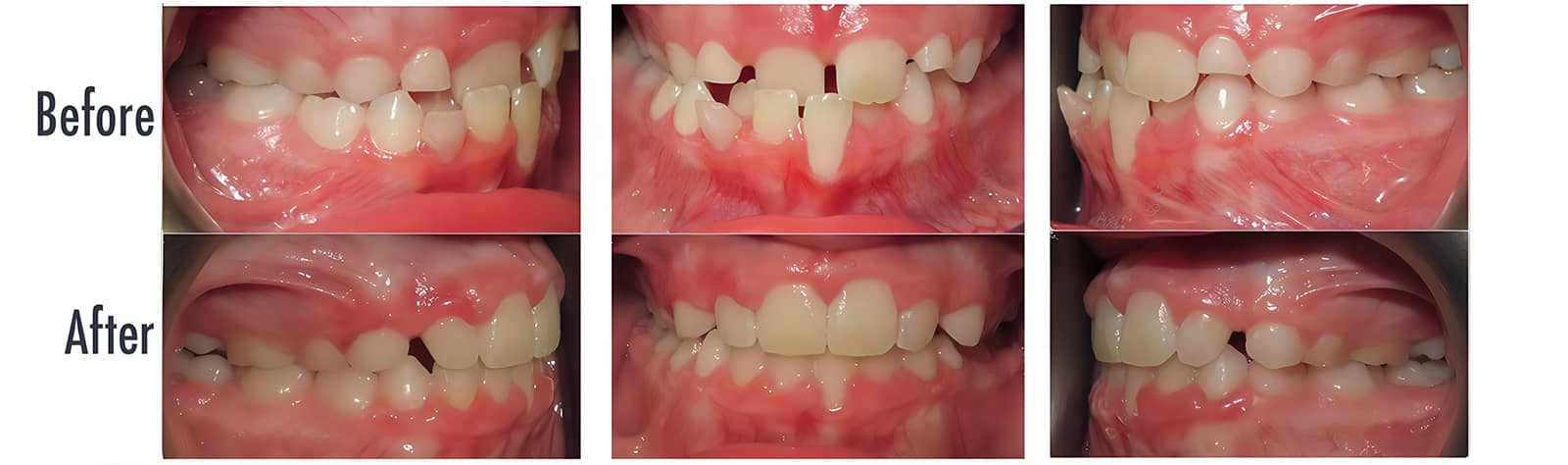
Crowding of the teeth



Open bite - Front teeth don't touch



Deep overbite - Lower front teeth bite into palate



Anterior Crossbite


Phase One


Spacing of teeth

 

Practice Contact Information